DISEÑO DE SONRISA
En lentes cerámicos y resinas de alta estética. Hoy en día tener una sonrisa bonita es sinónimo de buena salud.
Los pacientes cada día se preocupan más por tener no sólo una boca sana, sino también una sonrisa agradable a la vista del mundo.
Tenemos la atención especializada y personalizada que tú necesitas, diseñamos tu sonrisa para que recuperes la armonía de tu rostro, te veas como siempre has querido verte.
¿Cómo lo logramos?
Utilizamos equipos con la más alta tecnología, utilizamos únicamente las técnicas más seguras y vanguardistas.
Los pacientes cada día se preocupan más por tener no sólo una boca sana, sino también una sonrisa agradable a la vista del mundo.
Tenemos la atención especializada y personalizada que tú necesitas, diseñamos tu sonrisa para que recuperes la armonía de tu rostro, te veas como siempre has querido verte.
¿Cómo lo logramos?
Utilizamos equipos con la más alta tecnología, utilizamos únicamente las técnicas más seguras y vanguardistas.
Nuestros profesionales están comprometidos con tu salud, entre todos sumamos más de xx años de experiencia.
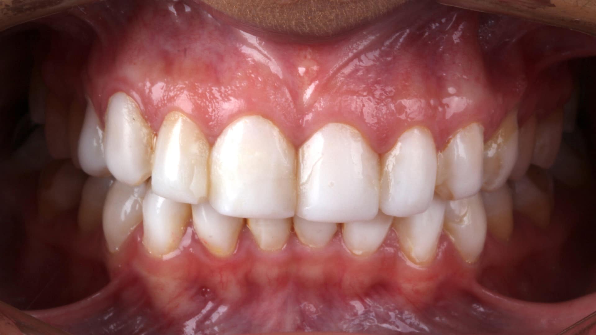
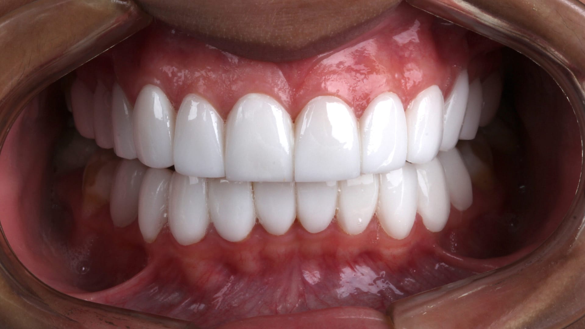
ANTES Y DESPUÉS






DISEÑOS DE SONRISA



